俄罗斯贵宾会集团

English 俄罗斯贵宾会集团集团企业邮箱
icon_searchclose

第八节 烧伤湿性医疗技术面部Ⅲ度烧伤的临床医治过程

   &n

作者:中国中西医结合学会烧伤专业委员会 出版社:中国医药科技出版社 刊行日期:2000年6月

          2011218202338577

5-8-1 伤后阐发: 面部火焰烧伤,无痛觉,无渗出 

           2011218202359490
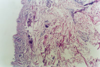
5-8-2 组织学查抄为全厚皮坏死 

           2011218202418335
5-8-3 利用耕作刀,对烧伤皮肤进行耕作减张

          2011218202435455 
5-8-4 耕作后,直接涂用MEBO,采取湿润露出疗法 

          2011218202535797
5-8-5 伤后第2天,将表表的MEBO算帐干净,再进行第二次耕作,持续采取MEBT疗法 

          2011218202553696
5-8-6 伤后第12天,MEBT/MEBO使坏死皮肤液化的阐发

          201121820264166
5-8-7 伤后第18天,坏死皮肤液化排除,皮下组织再生皮肤 

          2011218202620306
5-8-8 伤后第27天,部门创面皮肤齐全再生愈合,部门创面仍在愈合中 

          2011218202635665
5-8-9 伤后第50天,创面愈合,皮肤生理再生

【网站地图】