俄罗斯贵宾会集团

English 俄罗斯贵宾会集团集团企业邮箱
icon_searchclose

第二节 烧伤湿性医疗技术深Ⅱ度烧伤皮肤 再生建复过程及组织学阐发

   &n

作者:中国中西医结合学会烧伤专业委员会 出版社:中国医药科技出版社 刊行日期:2000年6月

          2011218153020352

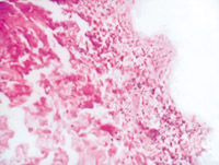
5-2-1 伤后第1天,表皮凝固性坏死,真皮浅层胶原纤维变性  HE×100 
          2011218153027492

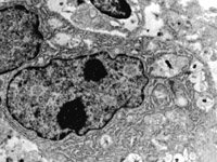
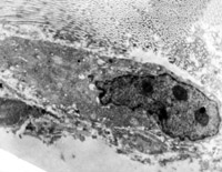
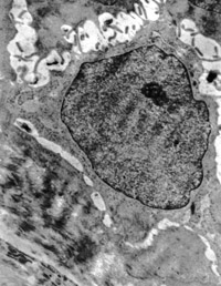
5-2-2 伤后第1天,毛细血管内皮细胞核固缩,管腔内血液凝聚和瘀滞  TEM×6000

          2011218153038543

5-2-3 伤后第3天,表皮细胞空泡化,真皮浅层胶原纤维玻璃样变,真皮内散在炎细胞浸润  HE×100

          2011218153049666

5-2-4 伤后第5天,真皮浅层组织液化性坏死、剥落  HE×100

          201121815310608

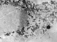
5-2-5 伤后第5天,胶原纤维相互融合,其间的细胞已崩解  TEM×6000

          2011218153113358

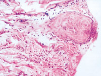
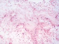
5-2-6 伤后第10天,残存真皮组织再生  HE×100

          2011218153120375

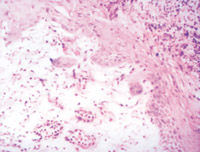
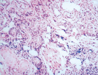
5-2-7 伤后第10天,创面真皮层汗腺增生,出现大量的上皮干细胞和炎性细胞  HE×1000

          2011218153126943

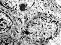
5-2-8 伤后第10天,皮肤附件上皮细胞成簇散布,核仁边集,内质网扩张,胞质内含较多张力原纤维  TEM×6000

          2011218153136375

5-2-9 伤后第15天,创面真皮深层的附件上皮自深处向表表垂直成长,平皮后呈舌状向创面爬杏注覆盖  HE×100

          2011218153142321

5-2-10 伤后第15天,成纤维细胞合成代谢活跃  HE×100

          2011218153148952

5-2-11 伤后第20天,大部门创面已由复层鳞状上皮覆盖,创面真皮层内可见增生涯跃的成纤维细胞和新生毛细血管  HE×100

          2011218153155737

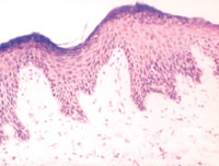
5-2-12 伤后第22天愈合,新生皮肤的结构同正常皮肤  HE×100

          201121815322250

5-2-13 愈后:表皮与真皮之间齐全的真皮-表皮衔接  TEM X 8000

          2011218153225826

5-2-14 愈后新生皮肤真皮内纤维细胞呈常态,胶原纤维粗细均匀,分列有序,达生理性愈合  TEM×10000

          2011218153215843

5-2-15 深Ⅱ度创面建复愈合后的皮肤大体状态,其阐发与未危险皮肤一致

(徐荣祥、王成传、萧摩、谢尔凡)
【网站地图】